TU(티유)치과의원 ㅣ 제로네이트ㅣ무삭제 라미네이트ㅣ라미네이트 TU(티유)치과의원

Trend Up

심미진료

TU 치과의원

“당신이 당당해진 이유”

다음페이지 예약하러 가기

눈을 맞추었을 때 전해지는 온기
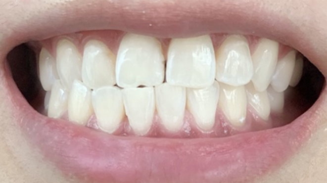
미소, 마음의 여유를 판단하는 척도

가장 짦은 순간에 읽을 수 있는 미소.
미소는 말이 아닌 행동으로 상대에 대한 호감을 표시하는 가장 효과적인 수단입니다.
환한 미소 뒤에 누런 치아 색이 두드러져 당당하게 미소 짓기 어려운 분들 티유미백으로 자신감을 되찾을 수 있어요.

1 2 3

01TU미백은 뭐가 다르나요?

티유미백은 웃을 때 드러나는 누런 치아로 입 가리고 웃는 분들의 개개인의
치아 상태와 변색의 정도를 파악하여 자연스러운 색상으로 치아 색을 보정합니다.

next
  • 전문가 미백제
    • 30분에서 1시간 소요
    • 보통 1~2회의 시술(3~4회 이상 시행)
    • 자가 미백보다 고농도의 과산화수소 사용
    • 할로겐, LED, 레이저 등 여러 개의 광원 사용
  • 자가 미백
    • 보통 취침시간을 이용하여 착용
    • 그 시간 동안 서서히 약제가 작용
    • 보통 2주의 시술(3~4회 정도 시행)
    • 젤 형태의 약제를 장치에 도포한 채 구강 내에 장착
  • 실활치미백
    • 보통 2~3회의 시술
    • 신경치료를 시행한 후 치아 내부에 미백제 투여
    • 변색 원인과 시점, 치아의 상태 등에 따른 개선도와 차이 발생
    • 변색의 경우 치료를 종료한 후 치아 내부에 형성된 공간을 이용
next

치아미백으로 다시 찾은 자신감

누런 치아를 하얗고 예쁘게,
아름다움과 자신감을 동시에 찾아드립니다.

next

02좋은 결과는 디테일의 차이다

티유미백은 미용적인 치료이기 때문에 사소한 디테일의 차이로도
결과가 달라지고, 환자분들의 만족도도 달라지게 됩니다.

next
  • TU치과만의
    특별한 치아미백

    제로 컴플렉스

  • 편안함

    평일 야간진료와 주말진료

  • 정확도

    경험과 노하우의 디테일한 차이
    시술 후 즉각적인 미백효과를 느껴요.

  • 심미성

    만족도가 높고,
    1:1 맞춤 시술로 치아 손상이 없어요.

  • 개선도

    누런 치아 더 밝고 하얗게 개선

next

SPECIAL RECIPE

촬영시기 : 2020.01 ~ 2021.03

* 티유치과 치아미백 전후사진 개인마다 치료 결과의 차이가 있을 수 있습니다.

기분 좋은 미소를 선물해요.

Read our next
Back to top
성함, 연락처를 남겨주시면
빠르고 정확한 상담 도와드립니다
[티유치과의원(이하 "본원"이라 함)]은 개인정보 보호를 매우 중요하게 생각하고 있으며, 이용자가 본원을 이용함에 있어서 본원에게 제공한 개인정보가 보호받을 수 있도록 최선을 다하고 있습니다. 「개인정보보호법」은 이러한 개인정보의 취급에 대한 일반적 규범을 제시하고 있으며, 본원은 이러한 법령의 규정에 따라 수집 · 보유 및 처리하는 개인정보를 공공업무의 적절한 수행과 정보주체의 권익을 보호하기 위해 적법하고 적정하게 취급할 것입니다.
 
또한, 본원은 관련 법령에서 규정한 바에 따라 보유하고 있는 개인정보에 대한 열람, 정정·삭제, 처리정지 요구 등 정보주체의 권익을 존중하며, 정보주체는 이러한 법령상 권익의 침해 등에 대하여 행정심판법에서 정하는 바에 따라 행정심판을 청구할 수 있습니다.
 
본원은 「개인정보보호법」에 따라 정보주체의 개인정보 보호 및 권익을 보호하고 개인정보와 관련한 정보주체의 고충을 원활하게 처리할 수 있도록 다음과 같은 개인정보 취급방침을 두고 있으며, 개인정보처리방침을 개정하는 경우 웹사이트 공지사항(또는 개별공지)을 통하여 공지할 것입니다.
 
제1조 수집하는 개인정보의 항목 및 수집방법
본원은 개인정보의 수집 시 관련법규에 따라 가입신청 시 또는 이용약관에 그 수집범위 및 목적을 사전 고지합니다. 개인정보 수집 항목은 아래와 같습니다.
홈페이지 회원가입 시 수집항목
• 수집항목 : 이름, ID, 비밀번호, 거주지역, 휴대전화번호, 이메일, 접속로그, 쿠키, 접속IP 정보
• 개인정보 수집방법 : 홈페이지(회원가입)
서비스 이용 과정이나 서비스 제공 업무 처리 과정에서 다음과 같은 정보들이 자동으로 생성되어 수집될 수 있습니다.
•서비스 이용기록, 접속 로그, 쿠키, 접속 IP 정보
진료 시 수집항목
• 필수항목 : 이름, 주민등록번호, 주소, 전화번호, 휴대전화번호, 이메일, 결혼여부, 내원경로, 외국인등록번호(외국인에 한함)
• 건강정보: 병력 및 가족력 등 진료서비스 제공을 위하여 의료진이 필요하다고 판단되는 개인정보
진료비 수납 시 수집항목
• 신용카드 결제 시 : 카드사명, 카드번호 등 카드결제 승인 정보
개인정보 수집방법
• 홈페이지, 서면양식, 팩스, 전화, 상담 게시판, 이메일 등을 통한 수집
제2조 개인정보의 수집 및 이용목적
본원은 수집한 개인정보를 다음의 목적을 위해 활용합니다.
이용자가 제공한 모든 정보는 하기 목적에 필요한 용도 이외로는 사용되지 않으며 이용 목적이 변경될 시에는 사전 동의를 구할 것입니다.
• 진단 및 치료를 위한 서비스
• 진료/검사/ 예약조회 및 진료를 위한 본인확인 절차
• 진료비 청구, 수납, 환불 등의 원무 서비스
• 진료비계산서, 내역서, 제증명서 발송 및 약품/물품 및 결과 발송
• 온라인/오프라인 검사 수탁, 외부검사 의뢰
• 민원/고충 처리 등을 돕기 위한 의사소통의 경로 확보
• 의료의 질관리, 병원운영을 위한 법적, 행정적 대응 및 조치
• 교육, 연구에 필요한 최소한의 분석 자료
• 새로운 서비스 및 행사 정보 문자메세지, Email, 카카오톡(알림톡, 브랜드톡) 등을 통한 안내 제공
• 진료정보, 학술정보, 병원정보 안내
 
제3조 개인정보의 제공 및 공유
개인정보를 제공받는 자의 개인정보 이용 목적
• 환자확인 및 진료예약, 취소 등에 관한 업무처리를 위함
• 본원이용 안내 및 본원의 새로운 서비스 및 행사 정보 문자메세지, Email, 카카오톡(알림톡, 브랜드톡), 이벤트 행사정보 통한 안내 제공
• 진료, 예약 등에 대한 모바일 안내
• 제공하는 개인정보의 항목 : 이름, ID, 비밀번호, 성별, 휴대전화번호, 이메일, 거주지역
개인정보를 제공받는 자의 개인정보 보유 및 이용기간
• 개인정보 보유기간은 정보 수집 기관과 동일함. 다만, 개인정보 수집기관과의 계약 해지(해제)에 따른 경우 그에 한함
• 동의를 거부할 권리가 있으며, 동의를 거부하는 경우 진료 예약이 불가하여 환자 편의와 만족이 저해될 수 있습니다.
제4조 개인정보처리의 위탁에 관한 사항
본원은 보다 나은 서비스 제공, 고객편의 제공 등 원활한 업무 수행을 위하여 다음과 같이 개인정보처리 업무를 외부 전문 업체에 위탁하여 운영하고 있습니다.

개인정보보호법 제26조 제2항 : 제1항에 따라 개인정보의 처리 업무를 위탁하는 개인정보처리자(이하 “위탁자”라 한다)는 위탁하는 업무의 내용과 개인정보 처리 업무를 위탁받아 처리하는 자(개인정보 처리 업무를 위탁받아 처리하는 자로부터 위탁받은 업무를 다시 위탁받은 제3자를 포함하며, 이하 “수탁자”라 한다)를 정보주체가 언제든지 쉽게 확인할 수 있도록 대통령령으로 정하는 방법에 따라 공개하여야 한다. 

개인정보보호법 시행령 제28조 제2항 :  법 제26조제2항에서 “대통령령으로 정하는 방법”이란 개인정보 처리 업무를 위탁하는 개인정보처리자(이하 “위탁자”라 한다)가 위탁자의 인터넷 홈페이지에 위탁하는 업무의 내용과 수탁자를 지속적으로 게재하는 방법을 말한다. 

 
위탁사 위탁 업무의 내용 위탁개인정보 위탁기간
오스템 임플란트  전자차트 유지보수 업무 이름,병원등록번호,생년월일 등 위탁 계약시 까지
매스티지 홈페이지 개발 및 운영 이름, 이메일,전화번호 위탁 계약시 까지
티유치과
티유게더 
새로운 서비스 및 행사 정보 문자메세지, Email, 카카오톡(알림톡, 브랜드톡) 등을 통한 안내 이름, 전화번호, 주소, 이메일, 진료정보, 예약상담정보 등 위탁 계약시 까지
SC컴퍼니 (더레마) TM 고객관리 이름, 전화번호, 주소, 이메일, 진료정보, 예약상담 정보 등 위탁 계약시 까지
덴트웹 고객관리 이름, 전화번호, 주소, 이메일 위탁 계약시 까지
  
제5조 (개인정보의 보유 및 이용기간)
원칙적으로, 개인정보 수집 및 이용목적이 달성된 후에는 해당 정보를 지체 없이 파기합니다.
단, 다음의 정보에 대해서는 아래의 이유로 명시한 기간 동안 보존합니다.
• 보존 항목 : 이름, 성별, 로그인ID, 비밀번호, 자택 전화번호, 휴대전화번호, 이메일
• 보존 근거 : 본원 홈페이지 이용 약관/의료법시행규칙 제15조(진료에 관한 기록의 보존)
• 보존 기간 : 회원탈퇴 시 파기 / 진료기록부10년
다만, 수집목적 또는 제공받은 목적이 달성된 경우에도 상법 등 법령의 규정에 의하여 보존할 필요성이 있는 경우에는 귀하의 개인정보를 보유할 수 있습니다.
 
제6조 (개인정보의 파기절차 및 그 방법)
본원은 원칙적으로 [개인정보 수집 및 이용목적]이 달성된 후에는 즉시 파기합니다. 파기절차 및 방법은 다음과 같습니다.
파기절차
이용자가 회원가입 등을 위해 입력한 정보는 목적이 달성된 후 이하 파기방법에 의하여 즉시 파기합니다.
파기방법
전자적 파일형태로 저장된 개인정보는 기록을 재생할 수 없는 기술적 방법을 사용하여 삭제합니다. 종이에 출력된 개인정보는 분쇄기로 분쇄하거나 소각하여 파기합니다.
제7조 (이용자 및 법정대리인의 권리와 그 행사방법)
본원은 고객이 개인정보에 대한 열람, 정정 및 삭제를 요구하는 경우에는 고객의 요구에 성실하게 응대하고, 지체 없이 처리합니다.
개인정보를 보호하기 위하여 고객의 방문 이외의 전화ㆍ우편ㆍFAX 등 기타 신청방법에 의한 고객의 개인정보의 열람, 정정 및 삭제 절차는 제공하지 않습니다.
개인정보의 열람
고객은 본원을 방문하여 개인정보의 열람을 요구할 수 있으며, 신속하게 이에 대하여 응대합니다.
개인정보의 정정ㆍ삭제
• 본원은 고객이 개인정보에 대한 정정ㆍ삭제를 요구하는 경우, 개인정보에 오류가 있다고 판명되는 등 정정·삭제를 할 필요가 있다고 인정되는 경우에는 지체 없이 정정·삭제를 합니다. 본원은 정정·삭제 내용의 사실 확인에 필요한 증빙자료를 요청할 수 있습니다.
• 고객이 본인의 개인정보에 대한 열람, 정정 및 삭제를 요구하는 경우, 고객의 신분을 나타내는 주민등록증, 여권, 운전면허증 등의 신분증명서를 제시 받아 본인 여부를 확인합니다.
• 본원은 개인정보의 전부 또는 일부에 대하여 열람, 정정 및 삭제를 거절할 정당한 이유가 있는 경우에는 고객에게 이를 통지하고 그 이유를 설명합니다.
• 만14세 미만 아동의 법정대리인은 아동의 개인정보에 대한 열람, 정정, 삭제 또는 처리정지를 요구할 수 있으며, 아동과의 관계 및 신분증명을 제출하여야 합니다.
※ 법에 의해 보관이 의무화된 개인정보는 요청이 있더라도 보관기간 내에 수정·삭제할 수 없습니다.
제8조 (동의철회 / 회원탈퇴 방법)
귀하는 회원가입 시 개인정보의 수집ㆍ이용 및 제공에 대해 동의하신 내용을 언제든지 철회하실 수 있습니다. 동의철회(회원탈퇴)는 본원 홈페이지 마이페이지의 『회원탈퇴』를 클릭하여 본인 확인 절차를 거치신 후 직접 회원탈퇴를 하시거나, 개인정보담당자에게 서면, 전화 또는 Fax 등으로 연락하시면 지체 없이 귀하의 개인정보를 파기하는 등 필요한 조치를 하겠습니다.
제9조 (개인정보 자동 수집 장치의 설치·운영 및 그 거부에 관한 사항)
본원은 이용자들에게 특화된 맞춤서비스를 제공하기 위해서 이용자들의 정보를 저장하고 수시로 불러오는 '쿠키(cookie)'를 사용합니다. 쿠키는 웹사이트가 이용자의 컴퓨터 웹브라우저로 전송하는 소량의 정보로 PC 하드디스크에 저장되기도 합니다.
본원은 다음과 같은 목적을 위해 쿠키를 사용합니다.
• 회원과 비회원의 접속 빈도나 방문 시간 등을 분석하고 이용자의 취향과 관심분야를 파악하여 서비스 개편 등의 척도로 활용합니다.
• 본원이 진행하는 각종 행사에서 귀하의 방문 회수를 파악하여 개인의 관심 분야에 따라 차별화된 정보를 제공하기 위한 자료로 이용됩니다.
귀하는 쿠키 설치에 대한 선택권을 가지고 있습니다. 따라서, 귀하는 웹 브라우저에서 옵션을 설정함으로써 모든 쿠키를 허용하거나, 쿠키가 저장될 때마다 확인을 거치거나, 아니면 모든 쿠키의 저장을 거부할 수도 있습니다. 회원님께서 쿠키 설치를 거부하셨을 경우 일부 서비스 제공에 어려움이 있습니다.
 
제10조 (개인정보보호 책임자)
본원은 이용자의 개인정보보호를 위한 기술적 대책으로서 보안장치를 마련하고 있습니다.
이용자께서 제공하신 모든 정보는 방화벽 등 보안장비에 의해 안전하게 보호·관리되고 있습니다. 또한 본원은 이용자 개인정보보호를 위한 관리적 대책으로서 이용자의 개인정보에 대한 접근 및 관리에 필요한 절차를 마련하고, 이용자의 개인정보를 처리하는 인원을 최소한으로 제한하여 지속적인 보안교육을 실시하고 있습니다. 또한 개인정보를 처리하는 시스템의 사용자를 지정하여 사용자 비밀번호를 부여하고 이를 정기적으로 갱신하겠습니다.
제11조 (정책 변경에 따른 공지의무)
이 개인정보취급방침은 관련법률 및 지침의 변경 또는 내부 운영 방침의 변경에 따라 내용이 변경될 수 있습니다.
본원의 「개인정보 취급방침」이 변경될 경우에는 홈페이지(http://tudentalse.com)를 통하여 공지해드립니다.
개인정보 보호 책임자
이름: 서재원
부서: 진료팀
전화: 02-598-8896
E-mail: tudental@naver.com
개인정보 보호 담당자
이름: 김보경
부서: 상담팀
전화: 02-598-8896
E-mail: tudental@naver.com
* 시행일자 : 2019년 8월 14일
 
기타 개인정보침해에 대한 신고나 상담이 필요하신 경우에는 아래 기관에 문의하시기 바랍니다.
1. 개인분쟁조정위원회 (www.1336.or.kr/1336)
2. 정보보호마크인증위원회 (www.eprivacy.or.kr/02-580-0533~4)
3. 대검찰청 인터넷범죄수사센터 (http://icic.sppo.go.kr/02-3480-3600)
4. 경찰청 사이버테러대응센터 (www.ctrc.go.kr/02-392-0330)
 
[티유치과의원 영상정보 처리 운영, 관리 방침]
[영상정보 처리기기 운영, 관리 방침]
본원은 영상정보 처리기기 운영 관리방침을 통해 본원에서 처리하는 영상정보가 어떠한 용도와 방식으로 이용, 관리 되고 있는지 알려드립니다.
 
제1조 영상정보처리기기의 설치 근거 및 설치 목적
본원은 개인정보보호법 제25조 제1항에 따라 다음과 같은 목적으로 영상정보 처리기기를 설치 운영합니다.
• 시설안전 및 화재 예방
• 고객의 안전을 위한 범죄 예방
제2조 설치대수, 설치위치 및 촬영범위
영상정보처리기기의 설치대수, 위치 및 촬영범위는 아래와 같습니다.
설치대수 설치위치 및 촬영범위
20 로비, 스탭룸 등
제3조 관리책임자 및 접근 권한자
정보주체의 영상정보를 보호하고 개인영상정보와 관련한 불만을 처리하기 위하여 아래와 같이 개인영상정보 보호 책임자를 두고 있습니다.
관리 책임자
이름: 서재원
부서: 진료팀
전화: 02-598-8896
E-mail: tudental@naver.com
접근 권한자
이름: 김보경
부서: 상담팀
전화: 02-598-8896
E-mail: tudental@naver.com
제4조 영상정보의 촬영시간, 보관기간
영상정보의 촬영 시간, 보관 기간 및 보관 장소는 아래와 같습니다.
촬영시간           보관기간           보관장소
본원 운영시간 내           촬영일로부터 14일 이내   서버실
제5조 개인영상정보의 확인 방법 및 장소에 관한 사항
• 확인 방법 : 영상정보 관리책임자에게 미리 연락하고 본 본원에 방문하시면 확인 가능합니다.
• 확인 장소 : 본원 서버실
제6조 정보주체의 영상정보 열람 등 요구에 대한 조치
정보주체는 개인영상정보에 관하여 열람 또는 존재확인, 삭제를 원하는 경우 언제든지 영상정보 처리기기 운영자에게 요구하실 수 있습니다. 단, 귀하가 촬영된 개인영상정보 및 명백히 정보주체의 급박한 생명, 신체, 재산의 이익을 위하여 필요한 개인영상정보에 한정됩니다.
본원은 개인영상정보에 관하여 열람 또는 존재확인, 삭제를 요구한 경우 지체 없이 필요한 조치를 하겠습니다.
정보주체의 열람 등 요구에도 불구하고 아래와 같은 경우에는 개인영상정보 열람 등 요구를 거부할 수 있으며, 이 경우에 10일 이내에 서면 등으로 거부 사유 및 불복할 수 있는 방법을 정보주체에게 통지합니다.
• 개인영상정보의 보관기간이 경과하여 파기한 경우
• 기타 정보주체의 열람 등 요구를 거부할 만한 정당한 사유가 존재하는 경우
제7조 영상정보의 안전성 확보 조치
본원에서 처리하는 영상정보는 암호화 조치 등을 통하여 안전하게 관리되고 있습니다. 또한 본원은 개인영상정보보호를 위한 관리적 대책으로서 개인정보에 대한 접근 권한을 차등 부여하고 있고, 개인영상정보의 위, 변조 방지를 위하여 개인영상정보의 생성 일시, 열람시 열람 목적, 열람자, 열람 일시 등을 기록하여 관리하고 있습니다. 이 외에도 개인영상정보의 안전한 물리적 보관을 위하여 잠금 장치를 설치하고 있습니다.
제8조 개인정보 취급방침 변경에 관한 사항
법령, 정책 또는 보안기술의 변경에 따라 내용의 추가, 삭제 및 수정이 있을 시에는 시행하기 최소 7일전에 본원 홈페이지를 통해 변경사유 및 내용 등을 공지하도록 하겠습니다.
* 시행일자 : 2019년 6월 13일
 
기타 개인정보침해에 대한 신고나 상담이 필요하신 경우에는 아래 기관에 문의하시기 바랍니다.
1. 개인분쟁조정위원회 (www.1336.or.kr/1336)
2. 정보보호마크인증위원회 (www.eprivacy.or.kr/02-580-0533~4)
3. 대검찰청 인터넷범죄수사센터 (http://icic.sppo.go.kr/02-3480-3600)
4. 경찰청 사이버테러대응센터 (www.ctrc.go.kr/02-392-0330)